Một nữ bệnh nhân 53 tuổi tại Hà Nội vừa được chẩn đoán mắc ung thư phổi sau khi đến khám tại Bệnh viện Đa khoa MEDLATEC vì triệu chứng đau nhói ngực trái kéo dài.
Trường hợp này cho thấy ung thư phổi không chỉ xảy ra ở nam giới hay người hút thuốc lá mà phụ nữ cũng là nhóm nguy cơ, cần chủ động phòng ngừa và tầm soát định kỳ.
Ung thư phổi là một trong những bệnh ung thư có tỷ lệ tử vong cao nhất hiện nay. Bệnh nhân P.T.H (53 tuổi) cho biết, khoảng một tháng gần đây bà thường xuyên xuất hiện những cơn đau nhói tại một điểm ở vùng ngực trái. Lo lắng về dấu hiệu bất thường này, bà đã chủ động đến khám tại Bệnh viện Đa khoa MEDLATEC.
Tại đây, sau khi được thăm khám lâm sàng và thực hiện hàng loạt cận lâm sàng như xét nghiệm máu, siêu âm tim, siêu âm vú, điện tim…, các kết quả ban đầu chưa cho thấy dấu hiệu rõ rệt của bệnh lý nghiêm trọng.
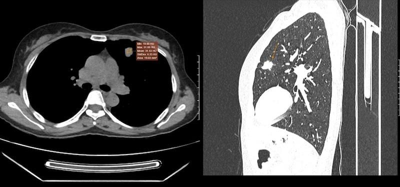
Tuy nhiên, kết quả chụp cắt lớp vi tính (CT) lồng ngực có tiêm thuốc cản quang đã phát hiện một nốt đặc kích thước 21x14mm có bờ tua gai ở thùy trên phổi trái, hình ảnh gợi ý khối u ác tính.
Đồng thời, tuyến thượng thận trái cũng xuất hiện nốt giảm tỷ trọng, nghi ngờ di căn xa. Để làm rõ bản chất khối tổn thương, bệnh nhân được chỉ định sinh thiết xuyên thành ngực dưới hướng dẫn của chụp CT. Mẫu bệnh phẩm sau đó được gửi đến Trung tâm Giải phẫu bệnh MEDLATEC và cho kết quả là ung thư biểu mô tuyến, một thể phổ biến trong ung thư phổi không tế bào nhỏ.
Sau khi có kết quả giải phẫu bệnh, bệnh nhân tiếp tục được thực hiện xét nghiệm hóa mô miễn dịch PD-L1 và giải trình tự gen nhằm tìm kiếm các đột biến liên quan. Kết quả cho thấy PD-L1 dương tính.
Đồng thời, bệnh nhân mang đột biến gen EGFR, một dạng đột biến phổ biến ở bệnh nhân ung thư phổi không tế bào nhỏ, có ý nghĩa lớn trong việc lựa chọn điều trị đích. Với các kết quả xét nghiệm xác định rõ thể bệnh và đặc điểm di truyền, bệnh nhân được chuyển đến bệnh viện chuyên khoa ung bướu để theo dõi và điều trị chuyên sâu.
Ung thư phổi là một trong những bệnh ung thư có tỷ lệ tử vong cao nhất hiện nay. Theo thống kê của Tổ chức Ung thư toàn cầu (GLOBOCAN) năm 2022, tại Việt Nam ghi nhận khoảng 24.426 ca mắc mới và hơn 22.597 ca tử vong mỗi năm do ung thư phổi.
Tỷ lệ sống sau 5 năm chỉ đạt 14,8%. Trước đây, bệnh chủ yếu gặp ở nam giới hút thuốc lá, tuy nhiên xu hướng gần đây cho thấy tỉ lệ mắc ở nữ giới ngày càng tăng, trong đó nhiều trường hợp chưa từng hút thuốc.
Theo bác sỹ Nguyễn Văn Tuấn, Trung tâm Giải phẫu bệnh MEDLATEC, một số yếu tố nguy cơ gây ung thư phổi ở nữ giới bao gồm hút thuốc lá thụ động, ô nhiễm không khí, tiếp xúc với amiăng, radon, khí thải độc hại, tiền sử gia đình có người mắc ung thư phổi và đặc điểm di truyền.
Đặc biệt, phụ nữ châu Á thường có tỷ lệ mang đột biến gen EGFR cao hơn so với nam giới, điều này giải thích vì sao họ dễ mắc bệnh dù không hút thuốc nhưng lại đáp ứng tốt hơn với thuốc điều trị đích nếu được phát hiện sớm.
Ung thư phổi thường tiến triển âm thầm và chỉ được phát hiện ở giai đoạn muộn khi đã có các triệu chứng rõ rệt như đau tức ngực, ho kéo dài, ho ra máu, khó thở, sụt cân không rõ nguyên nhân, mệt mỏi liên tục…
Đối với nữ giới, vì không thuộc nhóm nguy cơ điển hình nên các triệu chứng dễ bị bỏ qua hoặc chẩn đoán chậm trễ. Tuy nhiên, ung thư phổi hoàn toàn có thể kiểm soát nếu được phát hiện kịp thời và điều trị theo hướng cá thể hóa.
Các chuyên gia khuyến cáo người dân, đặc biệt là người trên 50 tuổi, nên thực hiện tầm soát ung thư phổi bằng chụp CT liều thấp, đặc biệt nếu có các yếu tố nguy cơ như tiền sử hút thuốc, sống trong môi trường ô nhiễm, có người thân từng mắc ung thư phổi.
Trong chẩn đoán ung thư phổi, kỹ thuật nhuộm hóa mô miễn dịch (IHC) giữ vai trò quan trọng giúp phân biệt các thể bệnh như ung thư biểu mô tuyến, biểu mô vảy, ung thư tế bào nhỏ…
Đây là phương pháp sử dụng kháng thể đặc hiệu để nhận diện các dấu ấn sinh học trong tế bào, từ đó xác định chính xác nguồn gốc khối u và hướng điều trị phù hợp.
Ngoài ra, nhuộm hóa mô miễn dịch còn giúp phát hiện các chỉ dấu có giá trị điều trị như PD-L1 giúp đánh giá khả năng đáp ứng với liệu pháp miễn dịch, hay các marker như TTF-1, Napsin A, CK7, p40… dùng để xác định phân nhóm mô học và đặc điểm sinh học của tế bào ung thư.
Việc kết hợp nhuộm hóa mô miễn dịch với giải trình tự gen (như EGFR, ALK, ROS1…) giúp bác sỹ xây dựng phác đồ điều trị cá thể hóa, nâng cao hiệu quả điều trị, kéo dài thời gian sống và cải thiện chất lượng cuộc sống cho người bệnh.
Trường hợp của bà H. là minh chứng cho thấy bất kỳ ai, kể cả nữ giới không hút thuốc, vẫn có thể mắc ung thư phổi.
Vì vậy, mỗi người cần nâng cao nhận thức, chú ý tới các dấu hiệu bất thường dù nhỏ nhất, chủ động khám sức khỏe định kỳ và không chủ quan với bất kỳ cơn đau ngực kéo dài nào. Việc phát hiện sớm và điều trị đúng hướng không chỉ tăng cơ hội chữa khỏi mà còn giảm thiểu biến chứng và nâng cao chất lượng sống cho bệnh nhân.